Alinhadores Invisalign com atendimento humanizado e personalizado. Sorria confiante durante todo o tratamento, com estética, rapidez e praticidade.
Registro profissional ativo
Ortodontia e Ortopedia Facial
Mais de 15 anos de experiência
Humanizado e individualizado
Sou a Dra. Keytte Anne Menezes Novellino, especialista em Ortodontia e Ortopedia Facial, atuando em Florianópolis na Clinique Odontologia e Estética.
Desde 2011, dedico minha carreira a transformar sorrisos com um atendimento que é, antes de tudo, calmo, individualizado e humanizado. Acredito que cada paciente é único e merece um tratamento pensado exclusivamente para suas necessidades, com escuta atenta, sem pressa e com total transparência em cada etapa.
Meu compromisso vai além da técnica: é com o seu conforto, sua autoestima e o resultado que realmente faz diferença na sua vida.
Tratamentos ortodônticos modernos que se adaptam à sua rotina. Sem aparelho fixo, sem fios metálicos. Apenas resultados que transformam.






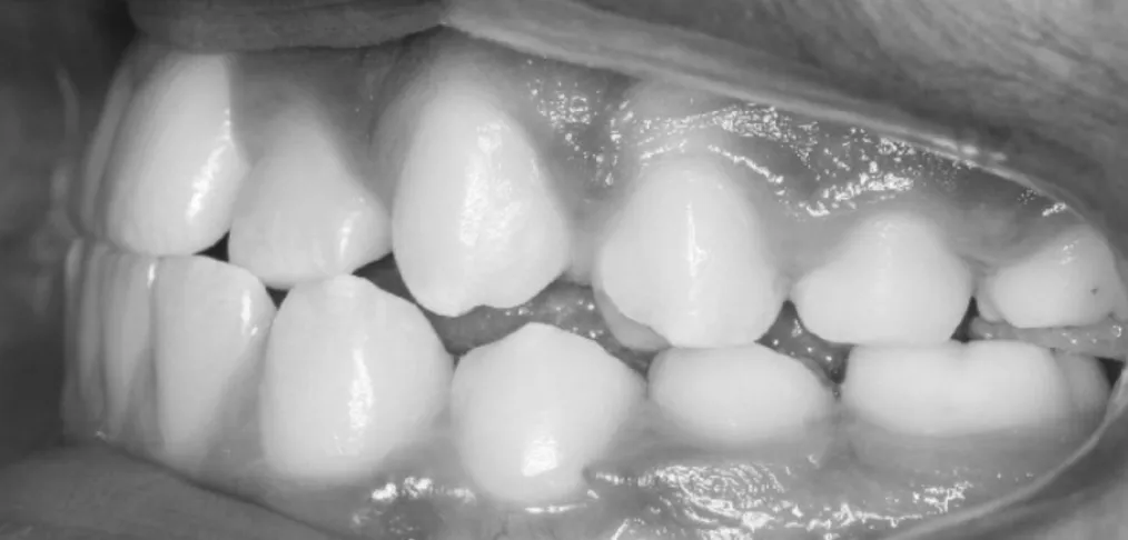
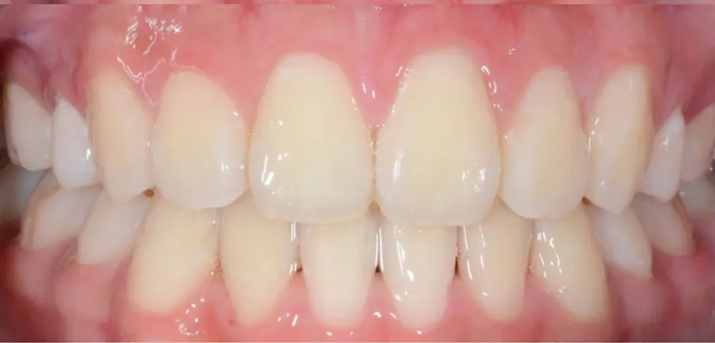
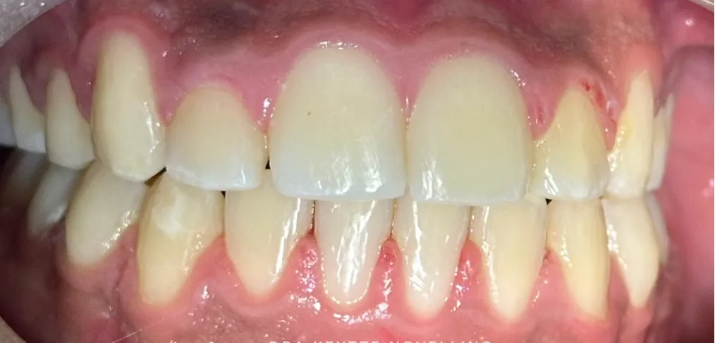
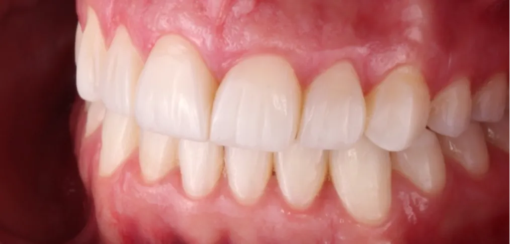
Cada caso é único, assim como cada sorriso. Veja alguns dos resultados alcançados com alinhadores invisíveis no consultório da Dra. Keytte.




*Os resultados podem variar de acordo com cada caso. Imagens autorizadas pelos pacientes.
Um processo simples, transparente e pensado para caber na sua rotina, do primeiro contato ao resultado final.
Envie uma mensagem pelo WhatsApp. Nossa equipe vai entender suas necessidades e agendar sua avaliação.
Consulta completa com a Dra. Keytte para análise do seu caso, escaneamento digital e apresentação do plano de tratamento.
Receba seus alinhadores personalizados e comece a transformação. Acompanhamento próximo em cada etapa.
Dentes alinhados, autoestima renovada. Todo o cuidado para que o resultado seja duradouro e natural.
Conheça o ambiente, os procedimentos e a tecnologia que fazem parte da sua experiência na Clinique Odontologia e Estética.




Publicado em Maylê Silveira da RochaTrustindex verifica se a fonte original da avaliação é Google. Ótima experiência.Publicado em Debora ZochTrustindex verifica se a fonte original da avaliação é Google. Publicado em Luane GoldenbergTrustindex verifica se a fonte original da avaliação é Google. Ótimo atendimento. Dra Rayssa e Dra Keytte foram maravilhosas.Publicado em Débora T. CamargoTrustindex verifica se a fonte original da avaliação é Google. A Dra Keytte é a Dra. Rayssa são super atenciosas e competentes, super recomendo a clínicaPublicado em Alcione Amaral e Silva MauésTrustindex verifica se a fonte original da avaliação é Google. Publicado em Ana SheilaTrustindex verifica se a fonte original da avaliação é Google. Maravilhosa como sempre, 😻 super indico,super profissional 👏Publicado em Janete RosaTrustindex verifica se a fonte original da avaliação é Google. Publicado em Dagner CardozoTrustindex verifica se a fonte original da avaliação é Google. Ótimo atendimento e excelentes profissionais.Publicado em Gabriel Eduardo dos SantosTrustindex verifica se a fonte original da avaliação é Google. Excelente trabalho dos profissionais da clínica, fui atendido pela Dra Rayssa, muito atenciosa e profissional.Publicado em Lidiane FloridoTrustindex verifica se a fonte original da avaliação é Google.
Agende sua avaliação personalizada e descubra como os alinhadores invisíveis podem transformar seu sorriso de forma discreta, confortável e com resultados reais.
Respostas para as perguntas mais comuns sobre alinhadores invisíveis e o atendimento da Dra. Keytte.
O aparelho invisalign é indicado para todos os pacientes que precisam alinhar os dentes, em qualquer idade. Todos os casos com indicação de aparelho, em nossa clínica, podem ser tratados com invisalign.
São placas transparentes, removíveis e feitas sob medida que movimentam seus dentes de forma gradual e controlada. Praticamente imperceptíveis, eles substituem o aparelho fixo convencional com muito mais conforto e estética.
É normal sentir uma leve pressão nos primeiros dias de cada nova placa, isso significa que o alinhador está trabalhando. Mas a sensação é bem mais suave do que a do aparelho convencional com fios e braquetes. A maioria dos pacientes se adapta rapidamente.
Depende de cada caso. Tratamentos mais simples podem levar de 6 a 10 meses, enquanto casos mais complexos podem chegar a 18 meses ou mais. Na avaliação inicial, a Dra. Keytte apresenta uma estimativa personalizada para o seu caso.
Os alinhadores são transparentes, removíveis, mais confortáveis e exigem menos consultas de manutenção. Além disso, permitem que você visualize o resultado final antes de começar. O aparelho convencional é fixo, visível e traz mais restrições no dia a dia.
O valor do tratamento ortodôntico com Invisalign é determinado pelas necessidades do seu caso, como o tipo de correção que será feita, a complexidade e a duração do tratamento.
A Dra. Keytte atende na Clinique Odontologia e Estética, em Florianópolis, SC.

Florianópolis - SC



